Orthodontiste Saint Jean
Cabinet d'orthodontie du Dr CHARLES Amélie
Orthodontiste Saint Jean
Cabinet d'orthodontie du Dr CHARLES Amélie

7 avenue Lapeyrière - Centre médical Lapeyrière
31240 Saint Jean

Blog - Page 8

L'usure dentaire

L'usure dentaire

07/04/25

Certaines personnes paraissent avoir subi une forme d’usure prématurée des dents. Quelles en sont les causes et comment y remédier ?

Les grincements de dents : le bruxisme

Les grincements de dents : le bruxisme

07/04/25

Le bruxisme est l’action de grincer des dents, particulièrement durant le sommeil, en produisant des bruits de frottements dentaires.

Les concentrations en fluor des eaux minérales

Les concentrations en fluor des eaux minérales

07/04/25

La quantité de fluor présente dans les eaux minérales est très variable et il est important pour vous de bien la connaître.

La pose de vernis fluoré pour les enfants et les jeunes adultes de 3 à 24 ans

La pose de vernis fluoré pour les enfants et les jeunes adultes de 3 à 24 ans

07/04/25

Le fluor, par voie générale ou en application locale, joue un rôle essentiel dans la protection des dents de l’enfant.

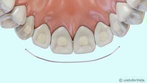
Fil de contention

Fil de contention

07/04/25
Conséquence de la perte des dents postérieures

Conséquence de la perte des dents postérieures

07/04/25
Affichage des articles 43-48 sur 107

Création par Webdentiste

Connexion